Internistische Praxis Dr. Nader

Öffnungszeiten:
Montag – Freitag
8.00 – 13.00 Uhr

Montag – Donnerstag
15.00 – 18.00 Uhr

Und nach Vereinbarung


Neue Telefonzeiten:
Montag – Freitag
9.00 – 12.00 Uhr

Montag – Donnerstag
15.00 – 18.00 Uhr

Gastroenterologie — Koloskopie

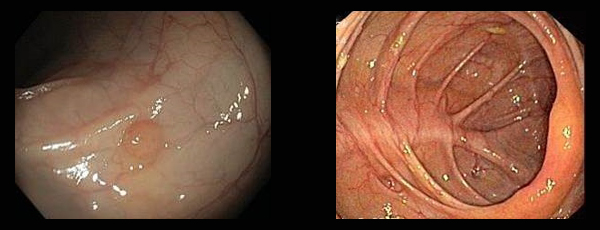
Koloskopie

Mit einer Darmspiegelung (Koloskopie) wird der gesamte Dickdarm und ein Stück des Dünndarms untersucht.

Dies geschieht mit einem biegsamen Endoskop, welches über den After eingeführt wird.

Die Darmspiegelung ermöglicht uns Entzündungen, Polypen, Divertikel und Krebs zu erkennen und zum Teil, wie bei den Polypen, auch gleichzeitig zu behandeln.



Damit die Darmschleimhaut einwandfrei beurteilbar ist, muss der Darm zuvor mit Abführlösungen gereinigt werden. Mit der Einnahme der abführenden Lösungen beginnen Sie am Nachmittag des Vortages. Hier können Sie vorab die Information zur Vorbereitung des Darms herunterladen.

Vor der Untersuchung ist ein Aufklärungsgespräch erforderlich. Dies sollte spätestens am Tag vor der Darmspiegelung erfolgen.

Um Schmerzen während der Untersuchung zu vermeiden bekommen Sie während der Untersuchung eine Schlafspritze.

Koloskopie

Für den Tag der Untersuchung und ggf. auch für den Vortag erhalten Sie eine Krankschreibung.

Besonders schonend ist die Untersuchung seit wir zur Darmfüllung Kohlendioxid (CO2) anwenden. Dieses Gas wird schneller wieder abgebaut als normale Raumluft. Die früher sehr unangenehmen Blähbeschwerden nach der Untersuchung werden damit vermieden.

Zurück zur letzten Seite

Fusszeile praxis@nader-internisten.de